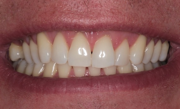
Ми використовуємо ефективний і надійний метод відбілювання зубів PURE Whitening.
Дізнайтеся більше
На відміну від звичайних методів відбілювання, Pure Whitening має ефект на все життя. При звичайному, так званому кабінетному відбілюванні, білий колір з часом зникає, і зуби повертаються до свого початкового кольору. Крім того, цей метод відбілювання є більш щадним для зубів, оскільки відбілюючі гелі містять мінімум перекису водню (щадний карбамідний пероксид).
1. первинна консультація
Перед відбілюванням зуби повинні бути здоровими, тому спочатку необхідно пройти обстеження. У разі необхідності ми запишемо вас на обстеження і тільки після цього почнемо відбілювання.
2. Створення зліпка ваших зубів
Для ідеального відбілювання поверхні зубів ми створимо індивідуальний зліпок ваших зубів. Потім ми виготовимо індивідуальні ретейнери, які повністю прилягатимуть до ваших зубів. Крім того, ви отримаєте від нас відбілюючий гель для нанесення на ваші капи.
3. Домашнє відбілювання
На 14 днів ви надягнете фіксатор з відбілюючим гелем. Ми рекомендуємо носити її кілька годин на день, бажано під час сну.
4. Амбулаторне відбілювання на 15-й день
На 15-й день ми завершимо лікування зубів в офісі, щоб завершити ідеальний вигляд вашої посмішки.
На все життя. Саме тому ми використовуємо метод PURE Whitening, не тільки тому, що він щадний для зубів, але й тому, що він довготривалий. За необхідності, через деякий час, вам достатньо придбати гель і кілька вечорів вдома комфортно відбілити зуби.
Це не так. Відбілювання за методикою PURE Whitening є безболісним, ви можете помітити лише незначну чутливість зубів, але це пройде протягом декількох днів після завершення процедури.
Результати видно майже відразу, проте остаточний ефект настає після всього процесу відбілювання.
Не зовсім. Ми однозначно рекомендуємо вагітним жінкам зачекати і приходять до нас після народження. Також відбілювання не рекомендується людям з великою кількістю карієсу або мертві зуби. Про те, чи підходить відбілювання для ваших зубів, ми повідомимо вам на консультації. Зв'яжіться з нами.
Завдяки регулярному професійному навчанню та інвестиціям у нові технології, ми можемо гарантувати сучасні процедури та інструментальне і матеріальне оснащення на дуже високому рівні.
Де нас можна знайти?
3
хвилин пішки від
центру Кошице
5
в декількох хвилинах ходьби від залізничного
та автовокзалу
P
парковка в будівлі Aupark
Де нас можна знайти?
3
хвилин пішки від
центру Кошице
5
в декількох хвилинах ходьби від залізничного
та автовокзалу
P
парковка в будівлі Aupark
Де нас можна знайти?
20
хвилин на машині від Братислави
1.
поверх в OC Monar Centrum
P
безпроблемне паркування