Sme odborníci v oblasti stomatológie

Naša spoľahlivosť a skúsenosti v oblasti stomatológie sa odrážajú aj v odborných článkoch o našej ambulancii HAPPYDENT. Tieto príspevky nám nielenže pomáhajú vybudovať dôveru medzi pacientmi, ale aj jasne ukazujú, že sme odborníci v starostlivosti o zuby. Prečítajte si ich a presvedčte sa, že sme tí najlepší.

Navigovaná chirurgia v našej praxi – súčasná digitálna stomatológia

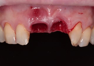
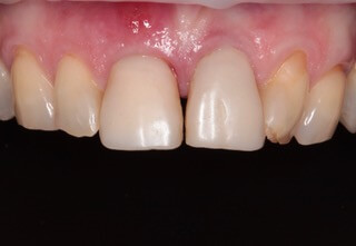
Do známeho českého časopisu Implants sme prispeli kapitolou, v ktorej Dr. Michal Repaši popisoval klinický prípad navigovanej chirurgie z praxe. Išlo o 45 ročnú pacientku, ktorá sa obrátila na našu kliniku s bolesťou v oblasti horných stredných rezákov. Pri dôkladnom vyšetrení a CT diagnostike bola v oblasti zuba č. 11 zistená vertikálna fraktúra koreňa. V oblasti zuba č. 21 palatinálne bol prítomný hlboký kaz koreňa.

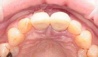
Jediným riešením bola extrakcia obidvoch zubov. Najväčšou obavou zo strany pacientky bola strata obidvoch predných zubov a následného fungovania bez nich pri práci s ľuďmi.

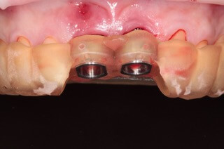
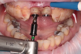
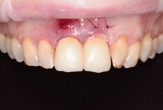
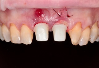
Ideálnym riešením teda bola náhrada zubov implantátmi spolu s nasadením koruniek, a to počas jedného sedenia. V deň konzultácie bol pacientke urobený sken pomocou intraorálneho skeneru 3Shape TRIOS, ktorý nám umožňuje zobraziť 3D simuláciu ústnej dutiny. Pomocou softwaru 3Shape Implant Studio sme spojili dáta z intraorálneho skenu a CBCT, STL a DICOM súbory.

V ďalšom kroku sme virtuálne vložili implantáty v správnej protetickej polohe, navrhli šablónu pre ich zavedenie, namodelovali individuálne abutmenty a korunky. Kompletné dáta sme exportovali pre frézovanie a 3D tlač. V laboratóriu sa pomocou 3D tlačiarne vytlačila chirurgická šablóna, ktorá nám slúži na presné zavedenie implantátov – použili sme implantačný systém Dentium Super Line. Následne boli vyfrézované zirkonové abutmenty a plastové dočasné korunky.

Naše publikácie

Dôležitosť objemu tvrdých a mäkkých tkanív, ako záruka dlhodobej funkcie zubných implantátov

Čítať článok

Navigovaná chirurgia v našej praxi - súčasná digitálna
stomatológia

Čítať článok

Zubné implantáty
– efektívne riešenie, ktoré zlepší vašu kvalitu života

Čítať článok


 

Moderné technológie

Vďaka moderným technológiám využívame možnosť náhrady zubov už počas jedného sedenia s maximálnou presnosťou. Zavedenie implantátov s okamžitým zaťažením sme dosiahli vďaka:

  • dizajnu samotných implantátov, vďaka ktorým sa dá dosiahnuť primárna stabilita
  • CBCT diagnostike, intraorálneho skenovania
  • presnosti a precíznosti frézovacích strojov
  • 3D tlači
  • širokému výberu materiálov

Ukážka - navigovaná chirurgia z praxe

 

Klinika HAPPYDENT

Vďaka pravidelným odborným školeniam a investíciám do nových technológií môžeme garantovať moderné postupy a prístrojové i materiálne vybavenie na veľmi vysokej úrovni.